Exam Details - Other Mammography Details
Digital Mammography:
- Uses computers and Specially designed digital detectors to produce an image
- Image is displayed on a high-resolution computer monitor
- Image is transmitted and stored just like computer files
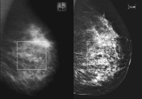
Film versus Digital Image:

Computer-Aided Detection (CAD):
- Acts as a second pair of eyes by analyzing patterns in the mammogram
- Marks areas for the radiologist to review in more detail
- Studies have shown that the use of CAD with mammography can increase the detection rate of cancer
Tomosynthesis (3D Mammography):
- Series of very low dose images that are viewed by a radiologist.
- Multiple images of each breast. One image for every millimeter of breast tissue.
- Can also be described as having the ability to look at each layer of an onion or each slice of bread.
- Adding 3D to traditional mammography, radiologists will be able to improve breast cancer detection due to detailed views
Normal Mammo Image versus 3D Image:

EDITED: 08/19/2019
